×
Alagoas
Penedo
Sergipe
Blogs
Áudios
Vídeos
Você Acontece
Penedo FM Play
Penedo FM Play
Página inicial
Últimas notícias
Alagoas
Artigos
Brasil/Mundo
Cultura
Esporte
Maceió
Meio Ambiente
Penedo
Política
Policial
Negócios/Economia
Sergipe
Blogs
Você Acontece
Notícias
▸
Dia: 4 de setembro de 2014
4 de setembro de 2014
Mais de 400 milhões de animais silvestres são atropelados a cada ano
4 de setembro de 2014
Próximo Concurso Vestibular da Uneal poderá sofrer mudanças
4 de setembro de 2014
Adutora do Sertão vai beneficiar 19 municípios alagoanos
4 de setembro de 2014
ANTT autoriza reajuste em pedágios de dez rodovias federais
4 de setembro de 2014
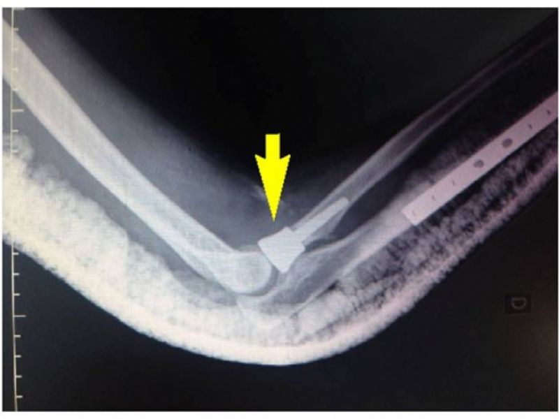
Cirurgia evita incapacitação de pacientes em tarefas que exijam esforço
4 de setembro de 2014
Preço da cesta básica cai pelo segundo mês consecutivo
4 de setembro de 2014
Tempo do jejum pré-operatório reduziu para 5 horas
4 de setembro de 2014
Familiares de socioeducandos participam de reunião do Projeto Florescer
4 de setembro de 2014
Festival de Arte leva música, dança e teatro ao palco do Cepa
4 de setembro de 2014
Setur apresenta estratégias para participação de Alagoas na ABAV
Paginação de posts
◂ Página anterior
1
2
3
4
5
Próxima página ▸